中医正骨治疗儿童骨折举案
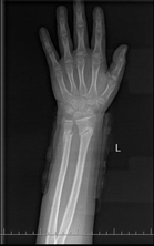
骨折愈合侧位

骨折愈合正位

整复前

整复后
在日常生活中,孩子们在玩耍时,难免会遇到意外受伤或者骨折的情况。在我们治疗的案例中,有许多家长,面对住院、麻醉、开刀、疤痕、骨头长好了还要二次手术取钢针等问题,并不想采用手术治疗,绝大多数想通过中医正骨方式接骨,避免孩子受到手术的痛苦。那么中医正骨的治疗结果如何呢?
下边展示的是一位左前臂双骨折的患儿,自就诊至今已有9个月的时间,多次复查评估时外形和功能均完全正常。
案例分析
患者男,11岁,在活动中,从高约1.8米处摔下,左腕撑地,出现左前臂肿胀疼痛、畸形、活动障碍等症状,经过几家医院诊断后,皆回复需手术治疗。但孩子家长意愿不手术、不动刀,希望将孩子痛苦降到最低,通过朋友圈打听,又向亲友求证,他们得知中医院骨伤科既能做手术,也能运用中医正骨术治疗。于2019年8月1日,从区外前来骨伤科就诊。
经X线片检查提示左桡尺骨双骨折。接诊医生向患者家属交代病情后,家属害怕全身麻醉会给患儿带来健康隐患,还涉及二次手术、留下疤痕、切口感染……坚决要求保守治疗。接诊医生考虑该患者为11岁,骨骼生长塑性能力很强,骨折断端在同一水平面上,骨折位置靠近腕关节,骨折断端向掌侧成角畸形,接诊医生采用闭合手法。为使外固定的力量变得富有弹性,选用柳木材质小夹板予以外固定。
治疗结果
整复后X线片提示接近解剖复位,40天达到临床愈合,最后随访时患肢外形及功能均完全正常。
治疗概况
闭合整复小夹板外固定后,即刻复查X线片见桡尺骨骨折对位对线优良,指导患者握拳活动。
2019年8月4日、8日、12日、15日复查X线片见骨折断端位置稳定,与整复当天相比较,未见明显变化。
8月20日复查时X线片见骨折远端轻度向背侧移位,接诊医师在骨折远端背侧放置4层纱布制成压垫以纠正残余畸形。为了避免左前臂肌肉萎缩及腕关节僵硬骨折,从骨折3周后,医生在调整夹板时开始予以理筋松解手法治疗。
9月11日复查查体时见患处无压痛及叩击痛,X线片见骨折线模糊,有足量骨痂形成,符合临床愈合标准,予拆除小夹板,患者左前臂无明显肌肉萎缩,左腕关节无僵硬,未出现筋膜室综合征和神经损伤等并发症。
案例总结
中医正骨后采用区域性有限元外固定的方法,在确保骨折断端稳定的前提下,在外固定期间尽可能最大化地提供肢体活动,以满足骨折修复所需的生物力学条件,具有损伤小、功能恢复快的特点,同时避免了手术,减少了患者痛苦,也避免了术后留有疤痕。
通过骨折闭合复位外固定后,应在医生的指导下开始进行功能锻炼。功能锻炼要循序渐进,逐渐加强活动力量。在骨折早期禁食辛辣和发物,如辣椒、大蒜、海鲜等,饮食清淡富有营养。拆除外固定后3个月内,嘱患者避免做单杠、铅球等体育运动。(黄阿勇 闫子男 北京市门头沟区中医医院)
(注:文中所载药方和治疗方法请在医师指导下使用。)
(LQ)
(责任编辑:刘茜)



